Reconnaître une poussée de PPG

LES POUSSÉES DE PPG ONT DES CARACTÉRISTIQUES DISTINCTES1

Les poussées de PPG sont caractérisées par des épisodes d'éruptions de pustules qui peuvent survenir avec ou sans inflammation systémique et avec ou sans psoriasis en plaques1.

Les signes et symptômes comprennent des pustules, un érythème et des lésions persistantes2-4.

Les patients peuvent également présenter1,2,4-7 :

Démangeaisons
Démangeaisons
Desquamation
Desquamation
Sécheresse
Sécheresse
Fatigue
Fatigue
Enflure
Enflure
Douleur articulaire
Douleur articulaire
Numération des globules blancs élevée
Numération des globules blancs élevée
Sensation de brûlure
Sensation de brûlure
Fièvre
Fièvre
Malaise
Malaise

La trajectoire des poussées de PPG est imprévisible, ce qui rend difficile la détermination de l'évolution de la maladie8

  • Les poussées de PPG peuvent varier d'un patient à l'autre et se présenter différemment chez un même patient8.

  • Les poussées antérieures de PPG ne permettent pas de prédire la gravité ni la durée de la prochaine poussée de PPG8.

  • Les poussées de PPG peuvent entraîner des complications systémiques graves3.

  • Les poussées de PPG peuvent être imprévisibles8.

Complications possibles associées au PPG

Les complications possibles associées au PPG comprennent le syndrome de détresse respiratoire aiguë (SDRA), la septicémie, le choc aseptique cardiovasculaire, l'insuffisance cardiaque à haut débit, l'insuffisance rénale, la cholangite neutrophilique, les anomalies métaboliques, l'arthrose et l'uvéite. Les causes de décès les plus fréquentes associées au PPG sont la septicémie, le SDRA et l'insuffisance cardiaque2-4,7-9.

LES SIGNES ET SYMPTÔMES DE PPG COURANTS COMPRENNENT LES PUSTULES, L'ÉRYTHÈME ET LES LÉSIONS PERSISTANTES2-4

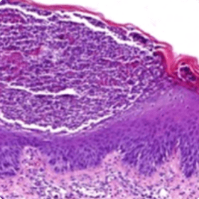
Lésions cutanées associées au PPG

Image utilisée avec la permission de la Dre Siew Eng Choon.

Lésions cutanées associées au PPG

Image utilisée avec la permission de la Dre Siew Eng Choon.

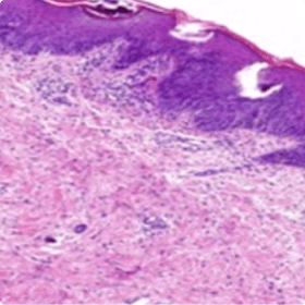
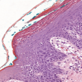
Dans les cas de psoriasis plus atypiques, une biopsie de la peau pourrait être utile10

des micropustules de Munro et Kogoj.

Micropustules de Munro et Kogoj

des pustules spongiformes vasculaires.

Pustules spongiformes vasculaires

un infiltrat neutrophilique dominant.

Infiltrat neutrophilique dominant

Fardeau clinique du PPG

Les symptômes du PPG peuvent s'aggraver au point d'entraîner l'hospitalisation et de mettre la vie en danger3,5,7,9

Ces poussées peuvent durer de quelques semaines à quelques mois et le temps de résorption nécessaire peut varier3,9.

Les symptômes du PPG peuvent affecter la qualité de vie des patients3,9

Les symptômes graves du PPG peuvent entraver significativement la qualité de vie du patient et faire en sorte qu'il soit difficile pour lui de vaquer à ses activités quotidiennes9.

Le PPG peut avoir un impact considérable sur les relations sociales et la santé mentale des patients11

Le PPG est associé à des taux plus élevés de troubles anxieux et dépressifs12.

 

SDRA=syndrome de détresse respiratoire aiguë.

Références

  1. Navarini AA, Burden AD, Capon F, et al.; for the ERASPEN Network. J Eur Acad Dermatol Venereol. 2017;31(11):1792–99. Doi:10.1111/jdv.14386.
  2. Bachelez H. Acta Derm Venereol. 2020;100(3):adv00034. Doi:10.2340/00015555-3388.
  3. Gooderham MJ, Van Voorhees AS, Lebwohl MG. Expert Rev Clin Immunol. 2019;15(9):907–19. Doi:10.1080/1744666X.2019.1648209.
  4. Choon SE, Lai NM, Mohammad NA, Nanu NM, Tey KE, Chew SF. Int J Dermatol. 2014;53(6):676–84. Doi:10.1111/ijd.12070.
  5. Benjegerdes KE, Hyde K, Kivelevitch D, Mansouri B. Psoriasis (Auckl). 2016;6:131–44. Doi:10.2147/PTT.S98954.
  6. Hideki F, Gooderham M, Romiti R. Am J Clin Dermatol. 2022;23(Suppl 1):S31–38.
  7. Ly K, Beck KM, Smith MP, Thibodeaux Q, Bhutani T. Psoriasis (Auckl). 2019;9:37–42. Doi:10.2147/PTT.S181808.
  8. Bachelez H. Br J Dermatol. 2018;178(3):614–18. Doi:10.1111/bjd.16232.
  9. Kharawala S, Golembesky AK, Bohn RL, Esser D. Expert Rev Clin Immunol. 2020;16(3):239–52. Doi:10.1080/1744666X.2019.1708193.
  10. Kim WB, Jerome D, Yeung J. Can Fam Physician. 2017;63(4):278–85.
  11. Sampogna F, Tabolli S, Söderfeldt B, et al. Br J Dermatol. 2006;154(5):844–49. Doi:10.1111/j.1365-2133.2005.07071.x.
  12. Kotowsky N, Gao R, Singer D, Garry E, Golembesky AK. Value in Health. 2020;23(Suppl 1):S333–34. Abstract:PRO29. Doi:10.1016/j.jval.2020.04.1257.
Membre de Médicaments novateurs Canada, Révisé par CCPP