LE PPG EST UNE MALADIE RARE ET POSSIBLEMENT MORTELLE ACCOMPAGNÉE DE CARACTÉRISTIQUES DISTINCTES QUI DIFFÈRENT DU PSORIASIS EN PLAQUES1-5

Qu'est-ce que le PPG?

Le PPG et le psoriasis en plaques sont des affections distinctes sur le plan génétique qui présentent des signes et des symptômes différents3-7.

Le PPG se caractérise par une inflammation immunitaire innée et est considéré comme une maladie neutrophilique, alors que le psoriasis en plaques se caractérise par une réponse immunitaire adaptive et est considéré comme une maladie auto-immune2,3,8,9.

Caractéristiques du PPG :

Le PPG est une maladie hétérogène avec rechutes possibles accompagnées de poussées récurrentes ou une maladie persistante accompagnée de poussées intermittentes4,5.

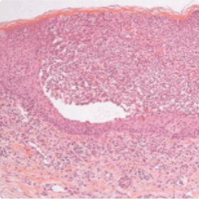
(A) Le psoriasis vulgaire est caractérisé par une acanthose, une parakératose et des infiltrats inflammatoires dermiques.

(A)

(B) En présence de psoriasis pustuleux, les changements acanthosiques sont accompagnés d'infiltrats épidermiques à prédominance neutrophilique qui provoquent la formation de pustules.

(B)

(C) Caractéristiques macroscopiques du PPG.

(C)

Figure 1. Caractéristiques microscopiques et macroscopiques du PPG. Histopathologie du psoriasis. (A) Le psoriasis vulgaire est caractérisé par une acanthose, une parakératose et des infiltrats inflammatoires dermiques.
(B) En présence de psoriasis pustuleux, les changements acanthosiques sont accompagnés d'infiltrats épidermiques à prédominance neutrophilique qui provoquent la formation de pustules. (Reproduction tirée de « Psoriasis Pathogenesis and Treatment » par Adriana Rendon et Knut Schäkel, Int J Mol Sci. 2019;20:1475; http://dx.Doi.org/10.3390/ijms20061475] licensed under CC-BY 4.0). (C) Caractéristiques macroscopiques du PPG. (Reproduction avec permission tirée de DermNet New Zealand Trust, Hamilton, Nouvelle-Zélande).

segment de peau illustrant une poussée de PPG

Image utilisée avec la permission de la Dre Siew Eng Choon.

Signes et symptômes cutanés :

Pustules, douleur, démangeaisons, desquamation, éruption cutanée, inflammation, rougeur, sécheresse, sensation de brûlure2,4,5,7,10-12

Signes et symptômes systémiques :

Fièvre, enflure, malaise, douleur articulaire, fatigue, leucocytose5,10

 

Qu'est-ce qui déclenche le PPG?

Le PPG peut être déclenché par1,5* :

Infections respiratoires supérieures
Infections respiratoires supérieures
Certains médicaments
Certains médicaments
Retrait soudain de stéroïdes
Retrait soudain de stéroïdes
Stress
Stress
Infection
Infection
Grossesse
Grossesse
Exposition au soleil
Exposition au soleil

* Les éléments déclencheurs peuvent varier et peuvent ne pas être représentés sur cette liste. Il n'est pas toujours possible d'identifier les éléments déclencheurs.

 

Qu'est-ce que le PPG?

00:00.000 - 00:00.999

[Consultant, conférencier, investigateur :  Abbvie, Lilly, Novartis, Janssen, Regeneron, Sanofi, Sun Pharma, UCB; Consultant, investigateur :  Dermira, Arcutis; Investigateur :  Merck, Pfizer, Sandoz, MC2 Therapeutics, Verrica Pharmaceuticals et consultant :  BI, BMS]

00:01.000 - 00:14.727

[Dr. Crowley] Cette présentation est commanditée par Boehringer Ingelheim Pharmaceuticals, Incorporée, et ne donne pas droit à des crédits de formation continue. J'ai reçu une rémunération conforme à une juste valeur marchande pour cette présentation. Voici mes divulgations.

00:17.184 - 00:19.544

Qu'est-ce que le PPG? 

00:19.906 - 00:36.737

Le psoriasis pustuleux généralisé, ou PPG, est une maladie cutanée neutrophilique, rare, qui est caractérisée par des poussées d'éruptions de pustules stériles, visibles sur le plan macroscopique partout sur le corps et par une peau érythémateuse pouvant être accompagnée ou non d'inflammation systémique. 

00:37.006 - 00:47.000

La maladie se déclare en moyenne vers l'âge de 40 ans et dans la majorité des études, il y a presque deux fois plus de femmes affectées par le PPG que d'hommes. 

00:47.705 - 01:00.512

Il existe de nombreux déclencheurs du PPG, y compris les infections des voies respiratoires supérieures, le retrait soudain de stéroïdes, certains médicaments, le stress, les infections, l'exposition à la lumière du soleil et la grossesse. 

01:00.996 - 01:17.605

Diverses comorbidités ont été associées au PPG, dont des comorbidités métaboliques comme l'hypertension, l'hyperlipidémie et le diabète sucré, ainsi que des comorbidités hépatiques, dont la maladie du foie gras, et des comorbidités cardiovasculaires comme la cardiopathie ischémique

01:17.695 - 01:22.769

Le diagnostic différentiel du PPG peut inclure plusieurs autres maladies cutanées pustuleuses. 

01:23.227 - 01:26.592

En quoi le PPG est-il différent du psoriasis en plaques? 

01:27.207 - 01:36.235

Les manifestations cliniques du PPG peuvent varier, mais comprennent des symptômes cutanés comme la douleur, les démangeaisons et une sensation de brûlure, ainsi que des signes et symptômes systémiques 

01:36.285 - 01:41.884

comme la fièvre, l'enflure, un malaise, une douleur articulaire, des maux de tête et une leucocytose.

01:41.934 - 01:45.895

Le PPG se distingue également du psoriasis en plaques sur le plan de sa pathogenèse.

01:45.911 - 01:59.021

Le PPG se caractérise par une inflammation immunitaire innée et est considéré comme une maladie neutrophilique, alors que le psoriasis en plaques se caractérise par une réponse immunitaire adaptive et est considéré comme une maladie auto-immune.

01:59.496 - 02:13.568

Le PPG représente aussi un fardeau pour les patients et peut avoir un impact considérable sur les relations sociales et la santé mentale. La desquamation cutanée, les lésions et les démangeaisons constantes peuvent être une source de stigmatisation sociale pour les patients.

02:14.048 - 02:18.716

[BI Logo]

Références

  1. Kharawala S, Golembesky AK, Bohn RL, Esser D. Expert Rev Clin Immunol. 2020;16(3):239–52. Doi:10.1080/1744666X.2019.1708193.

  2. Gooderham MJ, Van Voorhees AS, Lebwohl MG. Expert Rev Clin Immunol. 2019;15(9):907–19. Doi:10.1080/1744666X.2019.1648209.

  3. Fujita H, Terui T, Hayama K, et al. J Dermatol. 2018;45:1235–70.

  4. Navarini AA, Burden AD, Capon F, et al; for the ERASPEN Network. J Eur Acad Dermatol Venereol. 2017;31(11):1792–99. Doi:10.1111/jdv.14386.

  5. Bachelez H. Acta Derm Venereol. 2020;100(3):adv00034. Doi:10.2340/00015555-3388.

  6. Merck Manuals Professional Edition. Accessed May 6, 2022. www.merckmanuals.com/professional/multimedia/table/subtypes-of-psoriasis.

  7. Benjegerdes KE, Hyde K, Kivelevitch D, Mansouri B. Psoriasis (Auckl). 2016;6:131–44. Doi:10.2147/PTT.S98954.

  8. Johnston A, Xing X, Wolterink L, et al. J Allergy Clin Immunol. 2017;140(1):109–20. Doi:10.1016/j.jaci.2016.08.056.

  9. Liang Y, Sarkar MK, Tsoi LC, Gudjonsson JE. Curr Opin Immunol. 2017;49:1–8. Doi:10.1016/j.coi.2017.07.007.

  10. Choon SE, Lai NM, Mohammad NA, Nanu NM, Tey KE, Chew SF. Int J Dermatol. 2014;53(6):676–84. Doi:10.1111/ijd.12070.

  11. Hideki F, Gooderham M, Romiti R. Am J Clin Dermatol. 2022;23(Suppl 1):S31–8.

  12. Ly K, Beck KM, Smith MP, Thibodeaux Q, Bhutani T. Psoriasis (Auckl). 2019;9:37–42. Doi:10.2147/PTT.S181808.

Membre de Médicaments novateurs Canada, Révisé par CCPP